
Logiciel d'imagerie AIS | ACTEON® Imaging Suite
ACTEON®
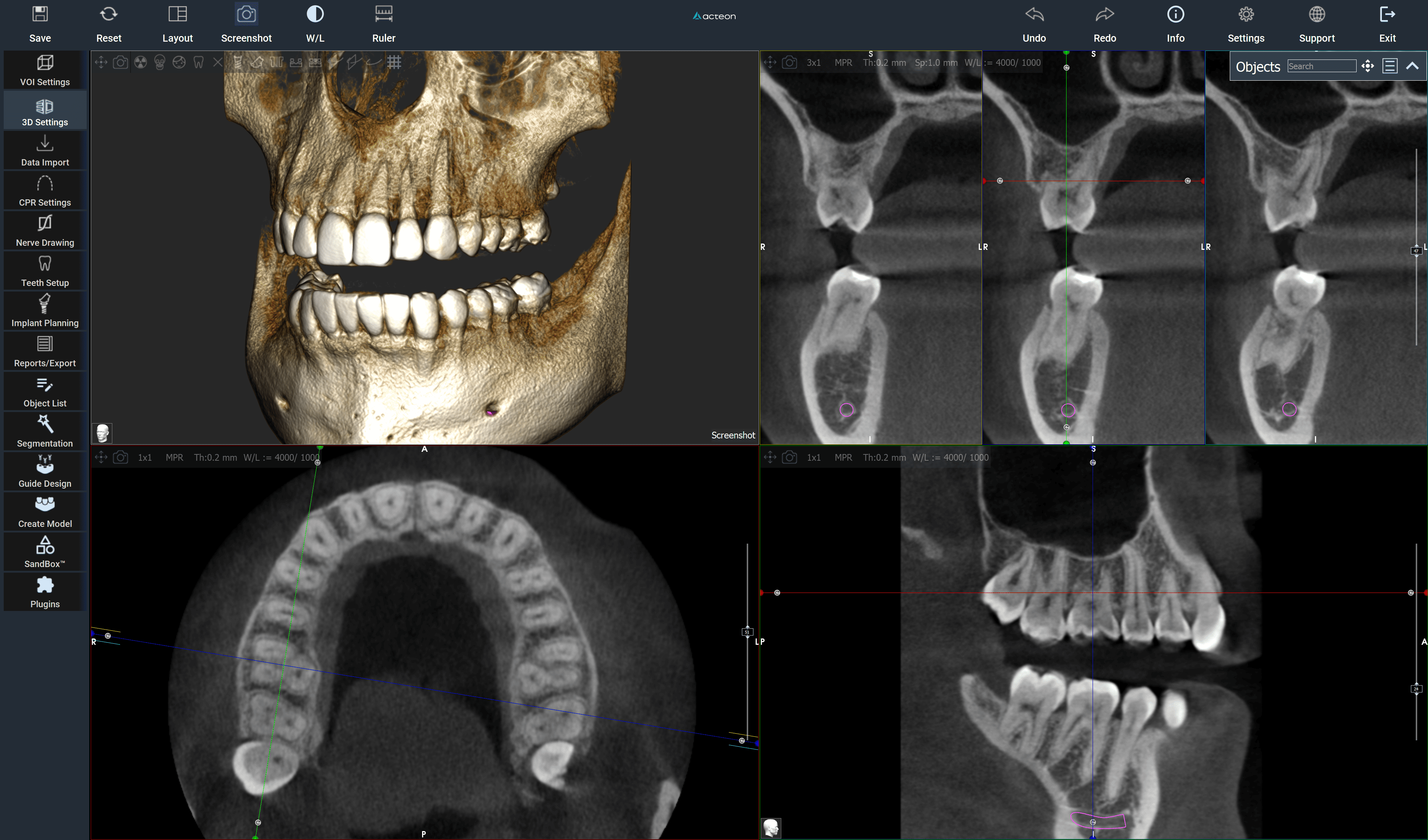
AIS 5.4 - Le cœur de votre cabinet dentaire
AIS 5.4 établit une nouvelle norme dans la gestion des cabinets dentaires grâce à son intégration fluide. La nouvelle interface, plus intuitive et conviviale, garantit une gestion efficace des données et une expérience utilisateur optimale.
RealGUIDE™ l'IA qui vous guide à vie
RealGUIDE™ réduit la complexité avec des outils alimentés par IA, permettant de simplifier les flux de travail d'implants et de restaurations, facilitant la communication, renforçant la confiance et améliorant l'acceptation des traitements.
L'interaction est l'essence de toutes les expériences utilisateur.
Entièrement repensé dans son interface graphique et complètement réorganisé dans son architecture fonctionnelle, AIS 5.4 devient un véritable écosystème développé autour des besoins des cabinets dentaires.
ATOUTS DU PRODUIT
Pourquoi choisir ACTEON® Imaging Suite ?
Connectivité fluide et gestion efficace des données.
Interface utilisateur propre et soignée avec des flux de travail finement conçus pour accomplir vos tâches quotidiennes avec le nombre minimum d'étapes, pour vous emmener directement au résultat.

Engagement efficace des patients.
Créez un rapport diagnostique complet en un clic, garantissez une transparence totale entre dentistes et patients, renforçant la confiance et améliorant les taux d'adhésion.

Flux de planification de niveau supérieur
Profitez pleinement des capacités de l'IA de RealGUIDE™ à chaque étape du flux de travail, en accélérant le processus et en maximisant les chances de succès. Profitez de la puissance de l'IA... pour la vie !

Sentir la liberté
Avec AIS, toutes les données de vos systèmes d'imagerie sont immédiatement disponibles et synchronisées, sécurisées dans une base de données cryptée et constamment sauvegardées pour être récupérées en cas de panne ou de déménagement de votre cabinet.

Cela pourrait également vous intéresser
Equipement dentaire
Distributeur spécialisé en matériel dentaire
Vente et location de matériel dentaire ou informatique
Tel : 01 48 89 17 46
contact@2adentalservices.com
1Bis Avenue Foch,
Les Bords de Marne
94700 Maisons Alfort
Support Technique
Anydesk
DentalConnect
Partage logiciel
Status
© 2025 2A DENTAL SERVICES. All rights reserved.
Services
Contact
