
Ortho | VATECH
Vos diagnostics orthodontiques sont immédiatement optimisés, vos consultations se transforment en expérience de soin haute qualité
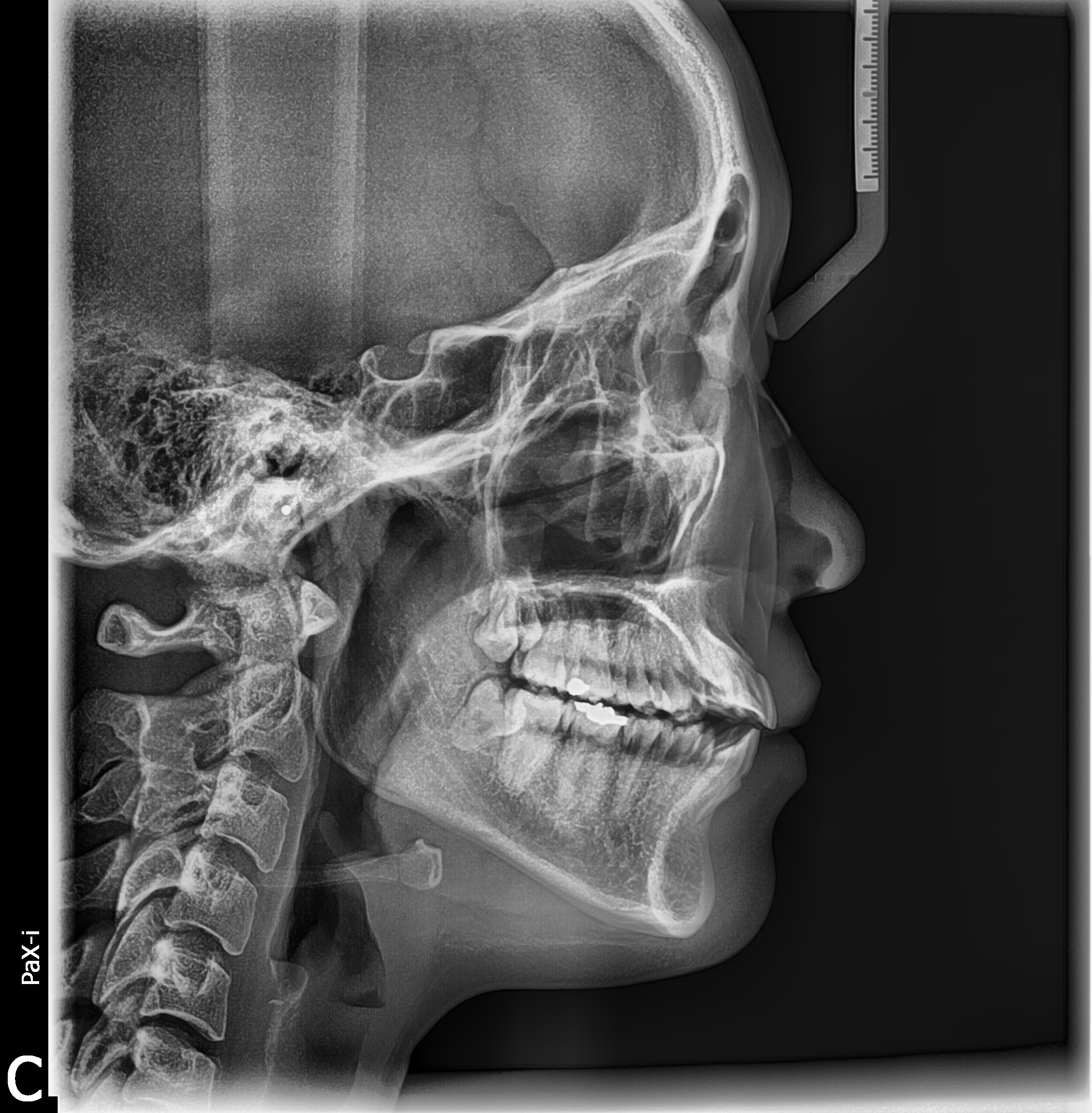
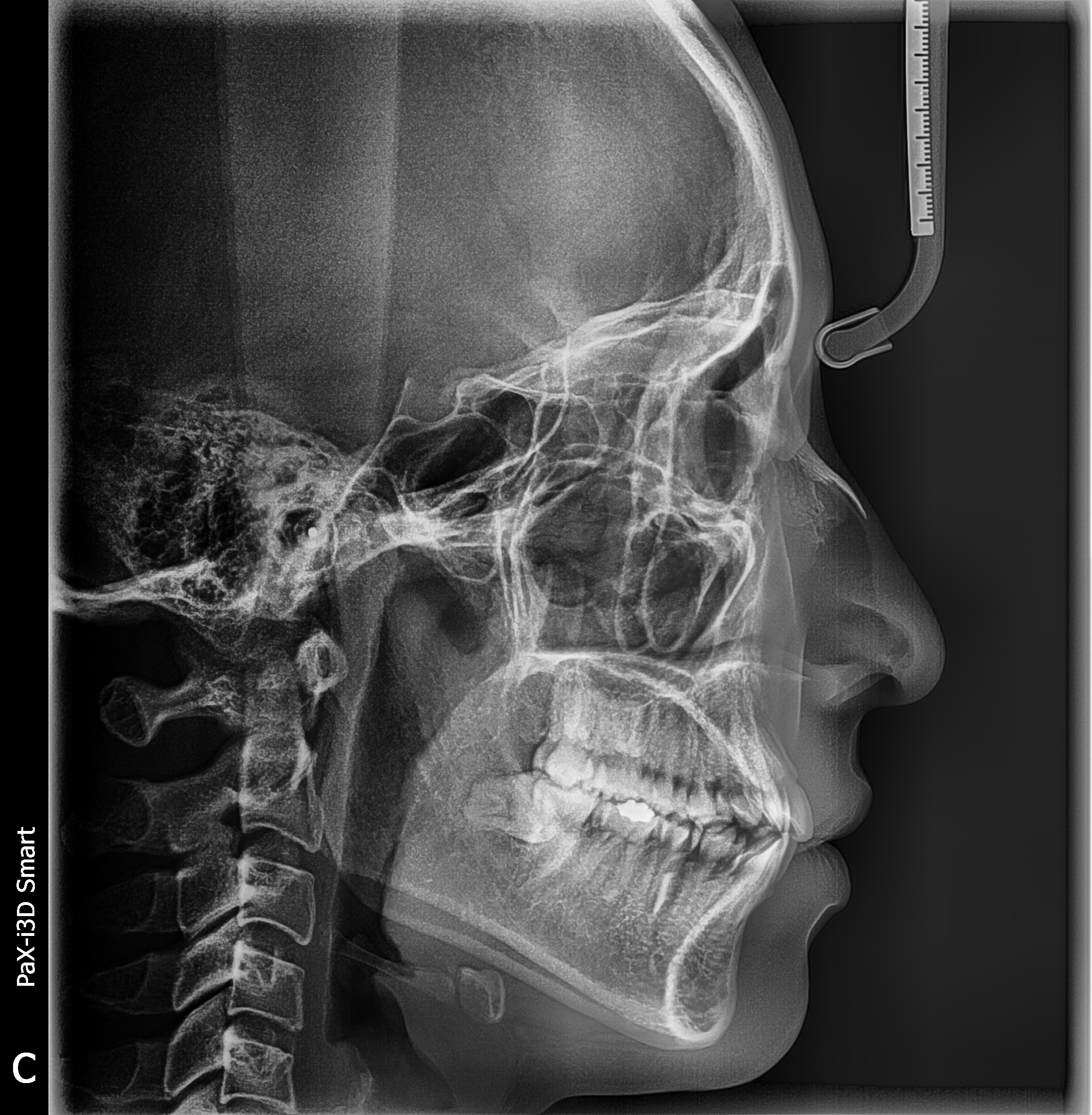
Acquisition rapide en 1.9 secondes
Une taille d’image optimale (28 x 26 cm) pour un diagnostic idéal (Full Latéral)
Cliché 30% plus grand qu’une solution scan classique
Positionnement simple du patient, pas de manipulation de capteur : 2 ou 3 capteurs livrés de série selon la version
Encombrement minimum : 1930 mm de largeur
Différentes modalités d’acquisition possible : Frontal / Carpus / SMV (Submentovertex)
Découvrez la performance et la précision inégalées des appareils orthodontiques Vatech, conçus spécialement pour les professionnels qui exigent des résultats fiables et détaillés. Grâce à une technologie d'imagerie avancée, ces équipements capturent chaque détail de la structure dentaire et maxillo-faciale, facilitant le diagnostic et la planification des traitements orthodontiques.
Avec des fonctionnalités intuitives, une qualité d'image exceptionnelle, et une réduction de l'exposition aux radiations, cette solution offre confort et sécurité aux clients en optimisant également l'efficience de votre pratique.
Option présente sur ces machines








Cela pourrait également vous intéresser
Equipement dentaire
Distributeur spécialisé en matériel dentaire
Vente et location de matériel dentaire ou informatique
Tel : 01 48 89 17 46
contact@2adentalservices.com
1Bis Avenue Foch,
Les Bords de Marne
94700 Maisons Alfort
Support Technique
Anydesk
DentalConnect
Partage logiciel
Status
© 2025 2A DENTAL SERVICES. All rights reserved.
Services
Contact
