
Scan Ceph | VATECH
La précision avancée pour des diagnostics orthodontiques fiables et complets
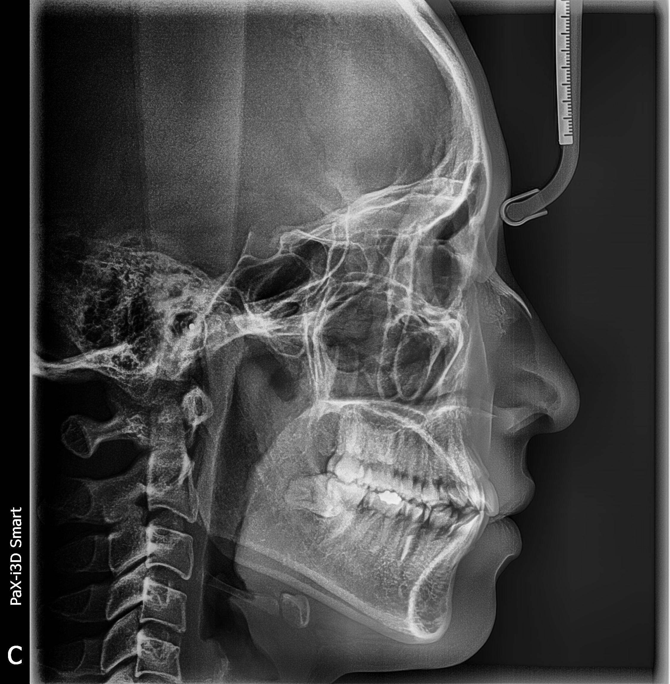
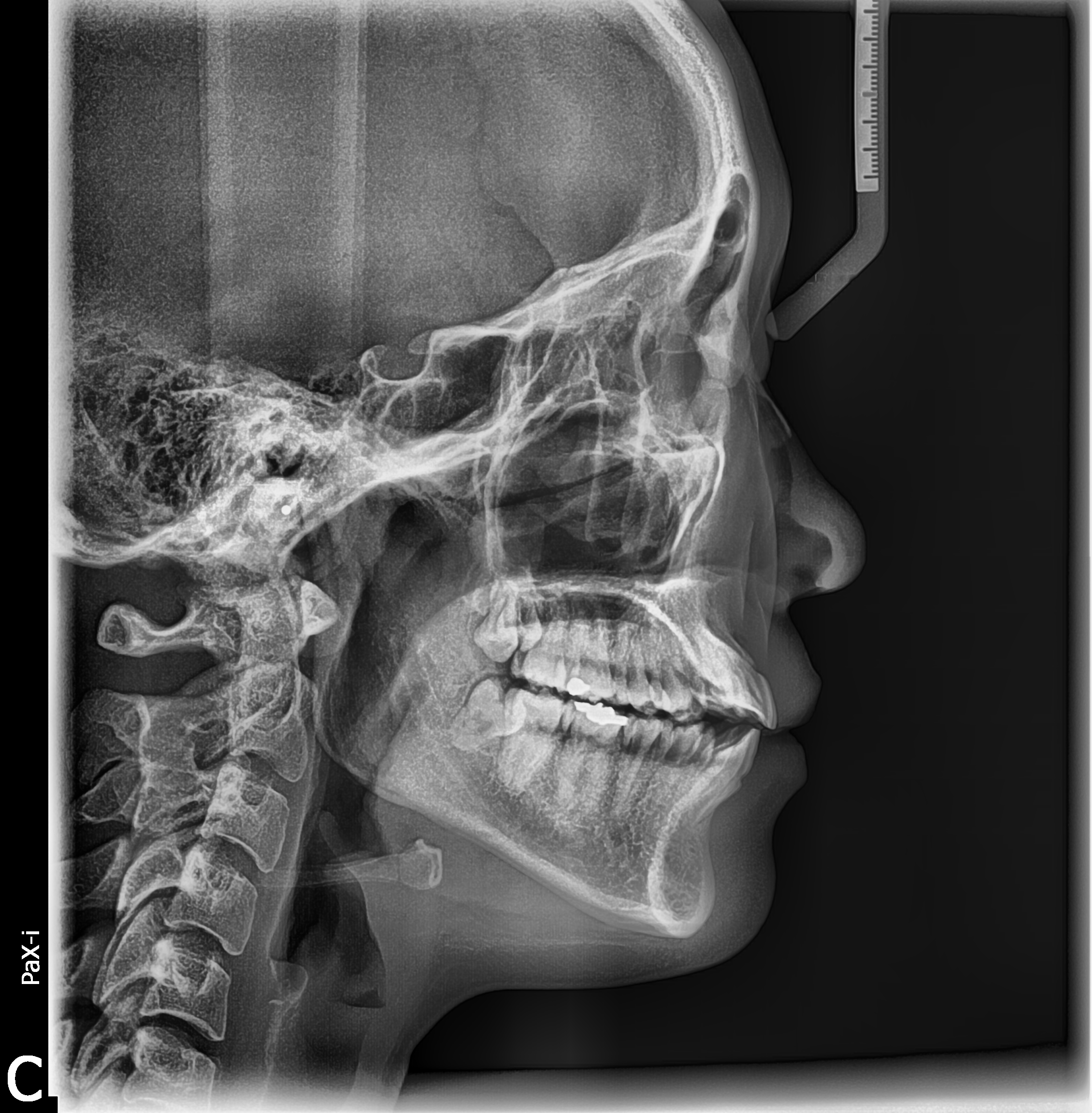
Technique de balayage du scanner
Taille d’image (21 x 23 cm) pour un diagnostic essentiel
Pas de manipulation du capteur entre l’acquisition panoramique et céphalométrique
Temps d’acquisition : 12.9 secondes
Qualité d’image en Haute Définition
Le Scan Ceph est un appareil de radiographie dentaire avancé, conçu pour fournir des images d'une précision exceptionnelle. Ce modèle propose des vues panoramiques, céphalométriques, et 3D, s'adaptant ainsi aux besoins variés de la pratique dentaire.
Grâce à la technologie de pointe CBCT, il minimise l'exposition du patient offrant une sécurité accrue.
L'appareil est équipé d'une interface utilisateur conviviale, avec des options de calibration automatique pour un usage quotidien simplifié.
Spécialement développé pour les cliniques dentaires et les cabinets maxillo-faciaux, le Scan Ceph assure des diagnostics précis, une planification optimale des implants, et une évaluation détaillée des structures osseuses et dentaires.
Option présente sur ces machines




Cela pourrait également vous intéresser
Equipement dentaire
Distributeur spécialisé en matériel dentaire
Vente et location de matériel dentaire ou informatique
Tel : 01 48 89 17 46
contact@2adentalservices.com
1Bis Avenue Foch,
Les Bords de Marne
94700 Maisons Alfort
Support Technique
Anydesk
DentalConnect
Partage logiciel
Status
© 2025 2A DENTAL SERVICES. All rights reserved.
Services
Contact
