
VistaPano S 2.0 | DÜRR DENTAL
L’efficacité sous un jour nouveau
L’appareil numérique de radiographie panoramique doté de la technologie S-Pan
Avec le VistaPano S 2.0, Dürr Dental définit une nouvelle norme en termes de netteté d’image des clichés extra-oraux. Par ailleurs, l’appareil de radiographie panoramique 2D s’illustre par une utilisation simple et un flux de travail bien pensé, assisté par un écran tactile en verre 8" innovant. Le VistaPano S 2.0 offre un rendu exceptionnel, et ce grâce aux deux technologies innovantes qu’il intègre. D'une part, la technologie de capteur CsI innovante garantit une qualité d'image accrue permettant ainsi d'établir de meilleurs diagnostics. D'autre part, la technologie S-Pan exploite les données d'image du cliché individuel du patient pour montrer automatiquement une représentation panoramique parfaitement nette, et ce à chaque position spatiale de la mâchoire et des dents.
Écran tactile en verre 8" intuitif
Toutes les fonctions en un coup d'œil
Avec l’écran tactile en verre 8" intuitif, l’utilisation est encore plus facile. Il visualise clairement tous les réglages. Pour commencer, sélectionnez simplement le programme d’acquisition et la taille du patient, cela évite les erreurs de manipulation et garantit un flux de travail optimal.

Un positionnement simple et efficace du patient
Les trois faisceaux lumineux de positionnement marquent l'orientation exacte du plan horizontal de Francfort, du plan sagittal médian et du plan de coupe. Le positionnement sans miroir garantit un contact visuel personnel et facilite la communication avec le patient.

Programmes de radiographie panoramique
Avec 17 programmes de radiographie au total, vous êtes équipé pour tous les diagnostics. Outre le programme panoramique standard, le VistaPano S 2.0 offre :
des clichés de l'hémiface droite, gauche, frontale
4 programmes pour les enfants : mode d’acquisition avec zone d’exposition réduite et réduction de la dose de 45 à 56 % sans perte d’informations utiles au diagnostic
5 programmes pour la réalisation de clichés orthogonaux
2 programmes pour la réalisation des clichés de la mâchoire
2 programmes pour la réalisation des clichés de représentation des sinus
.jpg)
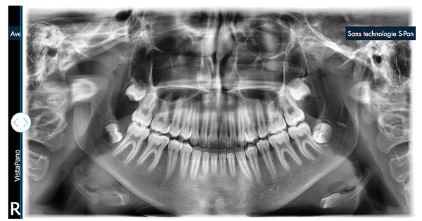
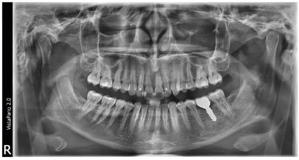
La technologie S-Pan : des images d'une netteté exceptionnelle pour des diagnostics sûrs
Contrairement à la méthode traditionnelle, la technologie S-Pan sélectionne automatiquement, parmi de nombreuses couches parallèles, les sections d’image qui représentent le mieux l’anatomie individuelle du patient. Lors de l’assemblage de l’image panoramique, les écarts par rapport à la « dentition moyenne » sont également pris en compte, tout comme l’inclinaison individuelle des dents. On obtient, par conséquent, une image d’une clarté exceptionnelle qui permet au dentiste de trouver immédiatement les structures pertinentes. Comme la reconstruction s'oriente en fonction de la situation effective de la dentition, les erreurs de positionnement sont « compensées » dans certaines limites. Ainsi, le cabinet gagne du temps, et le client ne subit aucune répétition de clichés.

Une lumière ambiante aux différentes nuances de couleurs aide les patients à se détendre
VistaPano S 2.0 – met de la couleur dans votre cabinet
Clichés radiographiques à distance
Tête Latéral L

Tête frontale, PA

SMV (SubMentoVertex)

Comparaison de la technologie S-Pan

Plus de netteté grâce à la pièce à mordre
Avec la pièce à mordre confort, le VistaPano S 2.0 offre une fixation encore plus stable du patient, ce qui minimise le risque de bougé. Le support large et souple assure un positionnement confortable, même pour les patients dépourvus de dents.

VistaPano S 2.0
Système radiographique 2D : – des images absolument parfaites
L’appareil numérique de radiographie panoramique doté de la technologie S-Pan

VistaPano S Ceph 2.0
Radiographie performante avec une faible exposition aux rayonnements
Des clichés de radiographie à distance rapides associés à une faible dose de rayons X dans une qualité exceptionnelle.

Le nouveau Vista Pano S 2.0
La radio panoramique sous un nouveau jour
Vista Pano S 2.0 :
CsI:TI Sensor
Type de détecteur d'image
100
Taille de pixel (µm)
2,4 - 13,5
Délais de numérisation (s)
Cela pourrait également vous intéresser
Equipement dentaire
Distributeur spécialisé en matériel dentaire
Vente et location de matériel dentaire ou informatique
Tel : 01 48 89 17 46
contact@2adentalservices.com
1Bis Avenue Foch,
Les Bords de Marne
94700 Maisons Alfort
Support Technique
Anydesk
DentalConnect
Partage logiciel
Status
© 2025 2A DENTAL SERVICES. All rights reserved.
Services
Contact
